Chan Dental
Gregg Takashi Chan, DDS

Personalized Dentistry for Your Family

IN TORRANCE, CALIFORNIA
Chan Dental DR. GREGG TAKASHI CHAN

Meet the Team

DR. GREGG TAKASHI CHAN

Welcome to Chan Dental, the practice of Dr. Gregg Takashi Chan, located in Torrance, CA.

Dr. Chan is a proud graduate of the USC School of Dentistry. As the founder and owner of Chan Dental since 2012, he prides himself on using the latest technology and evidence-based dentistry to enhance his patients’ care. He combines decades of experience with a warm, personable approach to ensure excellent oral health and a stress-free journey getting there.

Services

General dentistry, with an emphasis on prevention, builds the foundation for lifelong oral health. With our expert dental implant services, we provide a long-lasting solution for those dealing with missing teeth. Want to improve your smile and aren’t sure where to start? We tailor our cosmetic dentistry and Invisalign treatments to showcase the best version of you.

Testimonials

HEAR FROM OUR PATIENTS
  • I'm a new patient under Dr. Chan's care. Just had my deep cleaning and laser treatment, and Stephanie's exceptional friendliness and care made my experience the best. I highly recommend her!
    -Pooja K.

  • Love going to this office and Dr. Chan. Always thoughtful and good work with a fantastic staff. Highly recommend.
    -Melissa A.

  • Dr Gregg Chan is excellent. He is detailed and thorough yet doesn't push services you don't need. He is also kind and gentle and keeps you informed during procedures. I highly recommend him.
    -Lisa S.

  • I highly recommend Dr. Chan. Everyone is very kind and professional. I am q00% satisfied with all the services I received in the last 2 years with them.
    -Hahn

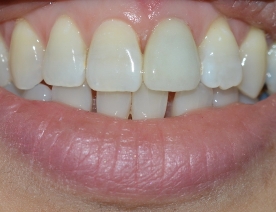
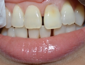
  • Chan Dental teeth before
  • Chan Dental teeth after

Before & After Gallery

OUR PATIENTS

Our Financials

AFFORDABLE & ACCESSIBLE CARE

Chan Dental is committed to making quality dentistry affordable and accessible to anyone interested in improving their oral health. If you are insured, we will help you navigate your benefits, ensuring you receive the maximum you are entitled to. Uninsured? Let us know, and we will do everything to help you find the financing solutions you need.

financials-img

Welcome to Our Torrance, CA Dental Practice

Welcome to Chan Dental, the practice of Dr. Gregg Takashi Chan, located in Torrance, CA.

Dr. Chan is a proud graduate of the USC School of Dentistry. As the founder and owner of Chan Dental since 2012, he prides himself on using the latest technology and evidence-based dentistry to enhance his patients’ care. He combines decades of experience with a warm, personable approach to ensure excellent oral health and a stress-free journey getting there.

Personalized Dentistry for Your Family

Dental needs evolve over a lifetime. At Chan Dental, we cater to patients of all ages and from all walks of life and offer a comprehensive range of services. We tailor our treatments to provide age-appropriate care that targets the issues affecting you at your current life stage.

Are you a young professional in need of a confidence-boosting smile makeover? Maybe you are a parent seeking preventive care for your kids or a senior who's focused on maintaining healthy, functional teeth. Whatever your stage of life or dental needs, you can trust us to solve any concerns that life throws your way.

Comprehensive Dental Care

General dentistry, with an emphasis on prevention, builds the foundation for lifelong oral health. With our expert dental implant services, we provide a long-lasting solution for those dealing with missing teeth. Want to improve your smile and aren’t sure where to start? We tailor our cosmetic dentistry and Invisalign treatments to showcase the best version of you.

Patient-Centered Care: Genuine, Trusted, Efficient

At Chan Dental, our mission revolves around three core values: Being genuine in our care, earning your trust through excellence, and maintaining efficiency. 

We recognize the value of your time and strive to offer efficient yet unhurried services without compromising on quality. We make it a point to listen to you, truly understand your needs and preferences, and offer solutions that are in your best interest.

Our team understands dental visits can be a challenge and that many people go without treatment because of anxiety. Please know that you are not alone! At our friendly dental practice, you will find a group of genuine, down-to-earth professionals who ensure you always feel comfortable and at ease. We provide a safe, non-judgmental space so you can feel confident about coming to us, whether it’s been six months or six years since your last dental checkup. 

A Commitment to Our Community

Community engagement is a core aspect of our practice philosophy. Dr. Chan actively volunteers his services for programs such as "Give Kids A Smile" and the USC Mobile Dental Clinic, which provides care for underserved children in Southern California. 

Join the Chan Dental Family

If the idea of a dental visit filled with warmth, efficiency, and the highest standards of care appeals to you, then look no further! Call our Torrance, CA, dental office at (310) 791-9991 to schedule your next appointment.

We can't wait to see your smile!

If you have difficulty using our website, please email us or call us at (310) 791-9991
View the ADA Accessibility Statement